PEEK Carbon Fiber Pob Txha Sab Nraud Fixator bracket
Cov Lus Qhia Paub Khoom
![]()
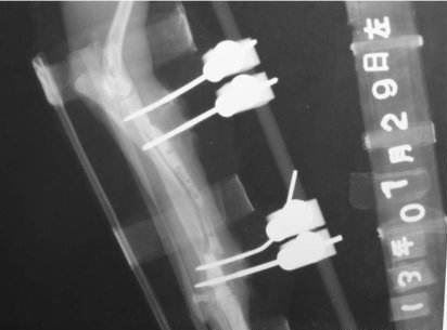
Kev kho ntawm kev kho pob txha kho pob txha feem ntau cuam tshuam sab hauv, kho sab nraud thiab sab nraud kev kho. | |
![]() Qhov kev kho sab hauv yog txhawm rau kho thiab kho cov pob txha lov nrog cov phiaj hlau thiab cov ntsia hlau hauv qab qhov muag pom ncaj qha. Kev kho sab nraud yog tsim los ntawm kev siv tshuaj pleev ib ce plaster thiab txaws. Qhov chaw tawg yog thaj chaw nyob sab nraud kom ruaj khov kho kom ruaj khov, thiab tus txhim kho sab nraud siv lub stent ruaj ruaj los tsav lub ntsia hlau tshwj xeeb rau hauv cov pob txha kom ua tiav kev ruaj khov. |
Cov ntaub ntawv raw khoom siv los ua tus kho kom zoo sab nraud tsis tsuas yog ua tau raws li cov kev ua haujlwm yooj yim ntawm kev kho, kho qauv, thiab nias ntawm tes, tab sis kuj tseem pab txhawb kev kho pob txha lov. Kev teeb tsa, ntim, nyhav thiab yoog raws kuj tseem ceeb. Feem ntau, cov khoom siv raw nrog kev kho kom zoo tuaj yeem ua tiav qhov kev kho kom zoo ntawm cov pob txha qub, tab sis qhov kev ntxhov siab los tiv thaiv kab mob tsis yog qhov muaj txiaj ntsig rau qhov tsim los ntawm sab nraud epiphysis. Lub pob txha tawg kho feem ntau yuav tsum tau nyob ntev ntev, thiab nws tau raug mob thib ob, yog li cov neeg kho sab nraud nyob hauv cov khoom siv. Cov ntaub ntawv zoo nrog lub zog zoo, lub teeb nyhav thiab X-ray kis yuav tsum tau siv. |
Sib piv cov tsoos nrog PEEK carbon fiber Pob Txha Sab Nraud Fixator bracket
![]()
![]() Tsoos pob txha sab nraud fixers Cov tsoos pob txha sab nraud kho cov khoom siv feem ntau yog ua los ntawm cov khoom siv hlau, xws li titanium alloy, cobalt chromium molybdenum alloy, thiab lwm yam. Cov txheej txheem elastic ntau dua 100 GPa, tab sis tib neeg cov pob txha elastic modulus feem ntau tsuas yog 1-3 GPa, thiab ntau dhau heev elastic modulus yog kev nrhav. Kev ntxhov siab loj heev occlusion yog tsim, yog li cov khoom siv sib txuas uas yog siab me ntsis thiab muaj qhov qauv zoo ntawm elasticity yog qhov ntau tsim nyog. Kev siv cov roj carbon fiber ntev ntev PEEK cov khoom siv sib ntxiv hloov cov khoom siv txho lossis cov hmoov carbon fiber ntxiv tiv thaiv cov khoom siv kom ua rau cov khoom siv sab nrauv sai muaj ntau qhov zoo tshaj qhov thov muaj txiaj ntsig ntawm kev hnav tsis kam. | ![]() PEEK Carbon Fiber Pob Txha Sab Nraud Fixator bracket Polyetheretherketone (PEEK) muaj qhov muaj tsawg tsawg, kev ua haujlwm zoo, hydrolysis tsis kam, tiv taus corrosion, nplaim taws rov qab thiab rwb thaiv tsev. PEEK cov khoom siv yog tsis muaj tshuaj lom thiab lub teeb hauv qhov hnyav, thiab yog cov khoom siv ze tshaj plaws rau tib neeg cov pob txha. Kev sib xyaw ua ke ntawm lub cev, tab sis nws cov tawv thiab kev cuam tshuam lub zog sib txawv, thaum ua ke nrog kev txhawb nqa cov roj carbon fiber ntau, nws cov cuab yeej muaj zog yuav nce siab, qhov hnav tus nqi thiab kev sib txhuam coefficient ntawm cov khoom kuj tseem yuav txo, ntxiv rau, qhov kev ua tau zoo ntawm cov khoom siv sib xyaw ua ke tuaj yeem tsim Cov cuab yeej kuj tuaj yeem ua kom tau ntau yam ntawm cov kev ua kom nruj txhawm rau hauv ntau, thiab feem ntau ua kom pom kev zoo thermal stability, tiv taus corrosion, lub teeb nyhav, hluav taws xob zoo electromagnetic hluav taws xob, thiab zoo interface ntawm PEEK thiab carbon fiber, carbon fiber Cov. Lub zog PEEK txhawb kev ua kom tau zoo nyob rau hauv qhov chaw tiv thaiv tsis kam, thaum tshav kub kub thiab cov av noo tsis kam, kev laus tiv thaiv thiab kev cuam tshuam. |
PEEK Cov Khoom Siv Hauv Cov Hlau Fiber ntev Ntev
![]()
Peb Pab Pawg
![]()

Hu rau Asmeskas
![]()

Cim npe nrov: peek carbon fiber pob txha pob txha sab nraud fixator bracket, Tuam Tshoj, tuam ntxhab, lwm tus neeg, Hoobkas, yuav, customized



